- 詰め物・被せ物治療とは?


- 虫歯などで歯の治療を行った際、歯を削らなければいけません。虫歯菌に感染した歯は、自然治癒することがなく、放っておくとどんどん歯が溶かされていってしまいます。削った歯質は、レジン(プラスチック)やセラミックなどの素材を使った「詰め物」「被せ物」によって補綴します。使用する材料によって保険適用の治療、自費診療の治療があり、審美性・機能性の良し悪しがあります。
当院では、審美・機能性に優れた詰め物や被せ物と、保険適用の詰め物・被せ物治療を患者様のご要望に合わせ、ご提案させて頂きます。
- 保険適用の詰め物・被せ物

- 詰め物(インレー)

詰め物は、軽度の虫歯処置を行った際に歯質を埋めるのに行う治療です。保険適用の素材としては、銀歯など金属、歯科用プラスチックのレジンなどがあります。
- 被せ物(クラウン)

被せ物は、進行してしまった虫歯を削った際、詰め物では覆いきれない歯質に対して行う治療です。保険適用の素材としては、銀歯など金属、歯科用プラスチックのレジンなどがあります。
保険適用の被せ物・詰め物治療メリット・デメリット
- メリット
- ・保険適用のため患者様の費用負担が少ない
- ・治療期間が比較的短い
- ・保険適用でもレジンを使用すれば治療跡が目立たない
- デメリット
- ・審美性と機能性が悪い
- ・時間が経つと変色し、見た目が悪くなってくることがある
- ・金属アレルギーに注意が必要
- 自費診療の詰め物・被せ物

- 自費診療の被せ物・詰め物治療には審美性と機能性に優れたセラミックという素材を使い、
見た目に美しく、よく噛めて、長く使用できる歯科素材を使用した治療を行います。
- 銀歯や変色した歯を改善

銀歯や変色した歯も、白く健康的な美しい歯に改善することができます。セラミックは金属を使っていませんので金属アレルギーのリスクもなく安心です。
- 半永久的に白く美しい歯へ

芸能人のような真っ白な歯にしたい方には、セラミック治療で半永久的に白く美しい歯を手に入れることができます。ホワイトニングとは違いご希望の色にすることが可能です。
- すきっ歯や歯の形を改善

歯の表面を薄く削り、ジルコニアでできた薄片(つけ爪のようなもの)を貼り付けて、見た目を白くしたり、すきっ歯のすき間をなくしたり、欠けた部分をカバーできます。
- 歯並びと審美性を改善

通常のワイヤー矯正と違い、セラミックの被せ物で前歯の歯並びや色・形・大きさを改善する方法です。ワイヤー矯正と違い、治療期間が短く、歯の形や色味もデザインできます。
自費診療の被せ物・詰め物治療メリット・デメリット
- メリット
- ・透明感ある自然な歯を作れる
- ・身体への親和性(馴染み)が高く、人体に優しい素材です
- ・金属を使わないので、金属アレルギーの方も安心です
- ・強くて丈夫な素材なので、しっかり物が噛める
- ・汚れが付着しにくいので、虫歯の再発防止になる
- デメリット
- ・保険適用の素材に比べ費用が高い
- セラミックのメリット

- 目立ちにくい
- セラミックは天然歯のような透明感・ツヤがあり、前歯にいれても自然で目立ちません。治療したと分からないくらいの再現が可能なのでむし歯の治療痕でお悩みの方にはオススメです。
- むし歯になりにくい
- 銀歯は経年劣化で腐食・変形します。その結果被せ物や詰め物と歯の間に隙間ができ、そこからむし歯が再発することがあります。セラミックは経年劣化しにくく、二次的なむし歯になりにくい利点があります。
- 金属アレルギーでも安心
- 歯科治療で入れた銀歯がアレルギーの原因となることがありますがセラミックは金属を使用していないためアレルギーのリスクがなく安心です。
- 症例紹介

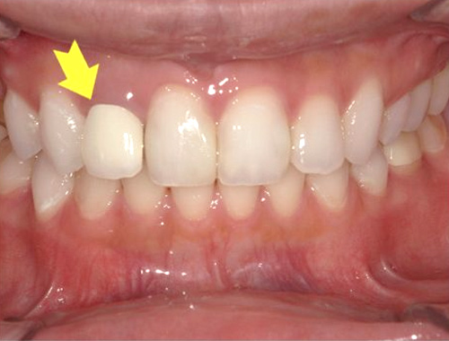
保険の被せ物をセラミック
(自費治療)に変更




保険診療で使われていた金属の被せ物を、自然な見た目のセラミッククラウンに変更した症例です。金属の被せ物は、強度が高く保険適用で治療できる一方で、見た目が目立ってしまったり、経年劣化により歯ぐきの黒ずみが出てくることがあります。
今回の症例では、金属の被せ物をセラミックに置き換えることで、まわりの歯と調和のとれた自然な色と形に仕上げました。口元の印象が大きく変わり、笑ったときにも金属が見えず、清潔感のある印象になります。
セラミックは金属を使わない素材のため、金属アレルギーの心配がなく、長期間の使用でも変色しにくいという特長があります。適合性も高く、歯とのすき間ができにくいため、むし歯の再発リスクも軽減されます。
銀歯の見た目が気になる方や、より自然で美しい仕上がりを求める方には、セラミックによる被せ物の治療をおすすめしています。気になることがあれば、まずはお気軽にご相談ください。
治療期間通院3回(むし歯治療、型取り、セット)、約3週間程度
費用目安税込132,000円
副作用・リスクについて
●セラミックは審美性と適合性に優れていますが、過度な力がかかると割れる可能性があります。
●歯ぎしり・食いしばりが強い方には、ナイトガードの使用をおすすめすることがあります。
●治療後も、定期的なメインテナンスを行うことで長持ちさせることができます。
●歯の状態によっては、土台の補強処置や神経の処置が必要になることがあります。
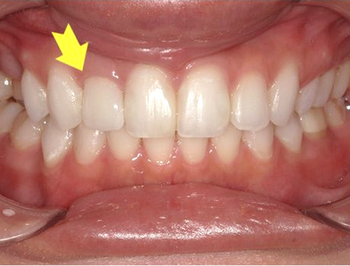
保険の詰め物から
白くて強度の強いジルコニアインレー(自費治療)に変更




保険診療で使用されていた金属の詰め物(いわゆる銀歯)を、白くて自然な見た目のセラミック(ジルコニア)に変更した症例です。金属の詰め物は強度に優れている一方、笑ったときや口を開けたときに目立ちやすく、長い年月が経つと金属成分が溶け出して歯ぐきが黒ずんで見えることがあります。
それに対し、セラミックの詰め物は見た目がとても自然で、天然歯とほとんど見分けがつかない仕上がりが可能です。金属を一切使用しないため、金属アレルギーの心配がなく、身体にも優しい素材です。
今回使用したジルコニアは、セラミックの中でも特に強度に優れており、歯を薄く削って作製できるという利点があります。一方で、オールセラミックに比べると透明感はやや出にくい素材です。患者さまから「なるべく歯を削らず、強度も確保したい」とのご要望があったため、このジルコニア素材を選択しました。精密に作製されるため適合性にも優れており、しっかりとフィットして虫歯の再発を防ぐ効果も期待できます。
写真では、治療前後の違いをご覧いただけます。黄色い矢印の部分が、実際にセラミックに置き換えた箇所です。治療後は口元の印象が明るくなり、患者さまにも大変ご満足いただけました。
治療期間通院3回(むし歯治療、型取り、セット)、約2週間程度
費用目安税込77,000円×2
副作用・リスクについて
●セラミックは天然歯に近い硬さですが、過度な力が加わると割れる可能性があります。
●治療後は定期メインテナンスが必要です。歯ぎしり、食いしばりがある方にはナイトガードをおすすめする場合があります。
●神経を取った歯など、歯の状態によってはセラミック治療が適さないケースもあります。
- 詰め物・被せ物の種類

- オールセラミック
- オールセラミックとは、すべてセラミックからなる素材の総称です。
光を透過するため、まるで天然歯のような透明感があり、年月が経っても変色が少ない素材です。
| オールセラミッククラウン 単純築盛 |
100,000円 税込110,000円 |
|---|---|
| オールセラミッククラウン 多色築盛 |
120,000円 税込132,000円 |
| セラミックインレー セラミックの詰め物 |
70,000円 税込77,000円 |
※自由診療になります
- フルジルコニア
- ジルコニアとはセラミック種類の1つです。
硬い素材ですが曲げ強度が高くしなやかで、掛かる力を分散して吸収するため、強度に優れている素材です。
| フルジルコニアクラウン 単色タイプ |
90,000円 税込99,000円 |
|---|---|
| フルジルコニアクラウン ステイン処理 |
100,000円 税込110,000円 |
※自由診療になります
- ハイブリットセラミック
- オールセラミックが良いが費用が…という方へ。
セラミックとレジンを混ぜ合わせ、比較的安価になったものがハイブリットセラミックとなります。
| ハイブリットクラウン ハイブリットの被せ物 |
50,000円 税込55,000円 |
|---|---|
| ハイブリットインレー ハイブリットの詰め物 |
30,000円 税込33,000円 |
※自由診療になります
- ラミネートべニア


- セラミック製の薄いチップを歯に貼ることで、
歯を美しく見せる治療
ラミネートベニアは、セラミック製の薄いチップを歯に貼ることで、歯を美しく見せる施術です。ネイルチップをイメージすると想像しやすいかもしれません。ラミネートベニアは、歯を白く見せることができ、さらに歯の隙間やねじれてしまった歯の形を治すことができる歯科治療です。歯を0.3~0.8mmほど削り、削った部分に「チップ」や「シェル」と呼ばれるラミネートベニアを貼り付けるます。
| ラミネートベニア ※必要な来院回数は診断による |
100,000円 税込110,000円 |
|---|
※自由診療になります






















